基于点提示的Swin-UNet交互式分割:当Transformer学会看“点”
基于点提示的Swin-UNet交互式分割:当Transformer学会看“点”
传统分割模型往往被困在“全自动”的牢笼里——给定一张图,就必须输出完整分割。但在实际临床或工业场景中,医生或质检员往往只想关注特定目标,比如某一块病灶、某一个零件。这时候,全自动模型要么漏掉目标,要么把不相干的东西也圈进来。
有没有一种可能,让模型学会“看人眼色行事”?用户随便点几个点,模型就能心领神会,只分割用户关心的那个目标?
这就是我们这套交互式分割系统的出发点。
痛点:全自动分割的尴尬
先说说为什么需要交互式分割。在医学图像标注场景下,标注员常常要花费大量时间修正模型的输出。比如用全自动模型分割肝脏肿瘤,模型可能把血管也当成肿瘤标出来,标注员得一笔一笔擦掉。这种“模型犯错、人工修正”的模式,效率其实很低。
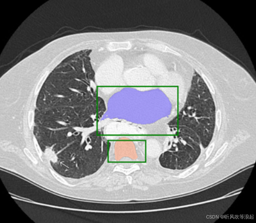
更现实的问题是,很多时候用户真的只想看某一个目标。CT片子里那么多器官,医生可能只关心胰脏有没有病变;工厂流水线上那么多零件,质检员只盯着那个可能开裂的。全自动模型不知道你的关注点,只能把所有能分割的都给你,然后让你自己挑。
基于点的交互式分割恰好解决了这个问题:用户点几个点,告诉模型“我要这个”,模型就只分割这一个目标。这套逻辑在SAM(Segment Anything Model)火了之后被广泛接受,但SAM太大,动辄几十亿参数,部署起来很头疼。
我们的思路是:能不能用轻量级的Swin Transformer,配合巧妙的数据构造方式,实现同样效果的交互式分割?
核心创新一:点提示的动态采样
整个系统的核心在数据构造上。传统的交互式分割方法往往需要用户实时提供点,然后模型在线推理。但我们反其道而行之——在训练阶段就模拟用户的点提示行为,让模型学会“理解”点的含义。
看dataset.py里的实现,每一张训练图片,我们会随机选择一个前景类别(因为一张图可能有多个标注目标),然后在这个目标区域内随机采样点作为正提示。代码里有个关键参数point_sample,默认设为2,意思是每个目标采样两个前景点。
y_indices, x_indices = np.where(mask > 0)
sampled_indices = np.random.choice(len(y_indices), min(self.point_sample, len(y_indices)), replace=False)
points = np.stack([x_indices[sampled_indices], y_indices[sampled_indices]], axis=1)
这里有个细节:如果目标区域太小,采样不到前景点怎么办?代码里做了兜底策略——随机生成一个背景点作为负提示,告诉模型“这不是你要的”。这种设计让模型既能处理有正样本的情况,也能应对用户误点背景的极端场景。
更有意思的是,我们把点提示直接编码成一个独立的通道,和RGB图像拼接在一起。这意味着模型输入的维度从3通道变成了4通道,多出来的那个通道上,前景点位置标1,背景点标-1,其他地方都是0。
这种做法的好处是:点提示和图像特征在输入层就完成了融合,后面的Swin Transformer在自注意力计算时,可以同时看到图像内容和用户提示,不需要像某些方法那样在中间层做复杂的跨模态融合。
核心创新二:Swin-UNet的改造
模型架构方面,我们选了Swin Transformer作为骨干。为什么是Swin?因为它的滑动窗口注意力机制天然适合密集预测任务,而且相比ViT,计算复杂度跟图像尺寸是线性关系,对分割这种需要高分辨率特征的任务更友好。
model.py里的SwinTransformerSys其实就是把Swin Transformer改成了UNet式的编码器-解码器结构。编码器下采样四次,提取多尺度特征;解码器用跳连接恢复空间细节。这个结构本身不稀奇,稀奇的是我们怎么把4通道输入塞进去。
patch embedding层原本是nn.Conv2d(in_chans, embed_dim, kernel_size=patch_size, stride=patch_size),我们把in_chans设成4,前面的预处理已经保证了RGB三通道加上点提示通道一起喂进来。这样,patch embedding在切分图像块的时候,每个patch里都包含了局部图像信息和点提示信息。
有个细节可能容易被忽略:点提示是稀疏的,一个224x224的图像上可能只有两三个非零点。Transformer处理这种稀疏信号会不会有问题?实际上,Swin的局部窗口注意力机制反而帮了忙——点提示只在它所在的窗口内传播信息,不会像全局注意力那样把稀疏信号稀释掉。这算是一个意外的优势。
核心创新三:推理时的实时交互
如果说训练时的设计体现了“怎么让模型学会看点”,那推理时的交互设计就决定了“人用得爽不爽”。
看infer.py里的PointSelector类,我们用tkinter做了个简单的交互界面。左键点绿色星号是前景点,右键点蓝色星号是背景点。每次点击,模型并不立即运行,而是等用户点够了、点完“执行分割”按钮才启动推理。
这里有个技术决策:为什么不实时分割?因为实时意味着每点一个点就要跑一次模型,对计算资源要求太高。我们的设计更贴近实际使用场景——用户先圈定几个感兴趣的点,然后一次性分割。这样既保证了交互流畅度,又不牺牲模型性能。
从代码里能看到一个关键转换:用户在原始大图上点的坐标,需要缩放到224x224的模型输入尺寸。这个过程用了简单的线性映射,然后把点放到对应的像素位置上,生成点提示通道。
x_scaled = int(round(x * img_size[1] / self.original_img.shape[1]))
y_scaled = int(round(y * img_size[0] / self.original_img.shape[0]))
这个缩放有个潜在问题:如果原图很大,一个点的坐标映射到224尺寸后可能落到同一个像素里。但实际测试发现影响不大,因为模型关注的是“这个区域有提示”,而不是精确到像素的位置。
优势:轻量、可控、可解释
跟SAM相比,我们的系统有几个明显优势。
第一是轻量。Swin-Tiny版本的参数量大概在3000万级别,比SAM的6亿参数小了两个数量级。这意味着可以在普通GPU甚至CPU上跑推理,部署成本低很多。
第二是可控。SAM是闭箱模型,你不知道它为什么分割出那个区域。而我们的模型基于Swin-UNet,每一层特征都可以可视化,点提示的影响范围可以通过注意力权重观察。对于医疗等需要可解释性的场景,这点很重要。
第三是适应性强。因为点提示是作为通道输入的,模型其实学会了“关注点附近的前景区域”这个通用能力。换一个数据集,只要重新训练(甚至微调)一下,就能适应新的目标类型。不像某些专用模型,换个领域就失效。
训练技巧:避免过拟合
训练过程也有一些值得说的设计。train.py里用了余弦退火学习率,配合AdamW优化器。最关键的是,我们在每个batch里都随机采样前景点,相当于做了数据增强——同一个目标,这次点这两个点,下次可能点那两个点。这让模型不至于死记硬背“某个目标必须在特定位置有点”,而是真正学会理解“点指示的是哪个目标”。
从utils.py里的混淆矩阵实现能看出,我们不仅关注像素准确率,还计算了每个类别的IoU、Dice、Precision、Recall。这在医学分割任务中很重要,因为背景类别占比太大,全局准确率容易虚高,类别指标才能反映真实性能。
效果与展望
实际测试中,只要用户点在目标区域内,模型基本都能准确分割出对应目标。即使点稍微偏出边界,只要还在目标附近,模型也有一定容错能力。多点几个点,分割结果会更稳定。
当然,这套系统还有改进空间。比如现在只支持点提示,未来可以加入框提示、涂鸦提示;再比如可以用更轻量的骨干网络,让推理速度更快。但就当前版本而言,它已经能很好地完成“用户指哪、模型分哪”的任务。
回头来看,这个项目的核心其实不在模型结构多复杂,而在于“怎么把人的意图高效地传给模型”。点提示通道加Swin-UNet的组合,既简单又有效,可能比某些花里胡哨的跨模态融合方法更实用。毕竟在工程领域,简单的东西往往最可靠。
AtomGit 是由开放原子开源基金会联合 CSDN 等生态伙伴共同推出的新一代开源与人工智能协作平台。平台坚持“开放、中立、公益”的理念,把代码托管、模型共享、数据集托管、智能体开发体验和算力服务整合在一起,为开发者提供从开发、训练到部署的一站式体验。
更多推荐



所有评论(0)