基于胸部正位X光片的两阶段对比学习椎体压缩性骨折筛查框架文献速递-多模态医学影像最新进展
2026.4.2
本研究提出一种基于胸部正位X光片的双阶段对比学习框架TADC-Net,通过模仿放射科医生的诊断流程,解决了器官遮挡和类间相似性等挑战,实现了椎体压缩性骨折的早期精准筛查,显著提升了诊断性能和临床辅助准确性。
Title题目
01
Two -stage contrastive learning framework for vertebral compression fracture screening in frontal chest X-ray
基于胸部正位X光片的两阶段对比学习椎体压缩性骨折筛查框架
文献速递介绍
02
椎体压缩性骨折(VCFs)是老年人群常见的骨质疏松性骨折,常导致脊柱后凸畸形、慢性背痛和心肺功能受损。在临床实践中,VCFs可通过胸部正位X光片(CXRs)进行机会性筛查,并由侧位成像检查确认。然而,由于VCFs通常无症状,且患者通常不进行额外的侧位检查,导致高达34%至45%的漏诊率,被称为“无声疾病”。这凸显了早期筛查的重要性。近年来,对放射科服务的需求急剧增加,放射科医生面临诊断时间紧张和诊断差异性大的问题。虽然深度学习在检测骨质疏松性骨折方面已取得进展,但针对正位CXRs上VCFs识别的研究相对较少。正位CXRs识别VCFs面临重叠、模糊和类间相似性等挑战。为解决这些问题,本研究提出一个两阶段统一框架,旨在利用正位CXRs实现VCFs的准确识别。第一阶段通过先进的分割框架和后处理方法提取单个椎体,第二阶段引入TADC-Net,包含三联体聚合模块和双重对比损失模块,以减轻类间相似性并捕捉连续信息。
Aastract摘要
03
椎体压缩性骨折(VCFs)是骨质疏松症的早期迹象,也是最常见的骨质疏松性骨折。在临床实践中,VCFs的诊断通常需要进行两项检查,但大多数患者在没有临床表现时仅进行初步检查,导致诊断不足。本研究旨在探索在更具挑战性的胸部正位X光片(CXRs)中进行VCFs筛查的潜力,该筛查受器官遮挡和类间相似性等因素影响。为此,我们提出了一个两阶段框架:第一阶段,通过分割框架和后处理算法获取单个椎体;第二阶段,引入TADC-Net,该网络通过三联体聚合模块提取上下文特征并解决类间相似性,以及双重对比损失模块实现VCFs的准确识别。在多中心数据集上的实验表明,该方法在定量和定性上均优于现有方法。此外,与两名放射科医生的对比分析表明,该方法表现出最佳性能,通过帮助放射科医生识别额外的骨折病例,有效提高了他们在CXRs上筛查VCFs的准确性和敏感性,验证了早期筛查的潜力。
Method方法
04
本研究提出的方法基于临床观察,即放射科医生通过比较可疑椎体与其相邻椎体来识别椎体压缩性骨折。该方法是一个简单而有效的两阶段框架,用于胸部正位X光片上的VCFs早期筛查和预测。第一阶段,采用先进的分割网络nnU-Net进行脊柱的粗略分割,并应用简单的后处理算法根据分割掩膜的质心重新校准椎体位置,裁剪出单个椎体图像块以供后续分析。第二阶段,引入名为TADC-Net的孪生架构,包含三联体聚合(TA)模块和双重对比损失(DCL)模块用于VCF识别。TA模块以候选椎体及其相邻椎体作为三联体输入,通过共享权重的特征提取器学习上下文表示,并包含一个三联体注意力机制来捕捉空间、通道和高宽维度之间的交叉维度交互。DCL模块通过显式优化椎体特征对在嵌入空间中的相对距离,鼓励正样本对(正常-正常)靠近,负样本对(正常-异常)远离,以增强模型对细微骨折的敏感性。该设计使得模型能够模拟放射科医生的诊断过程,捕捉椎体连续性的细微变化,提高系统鲁棒性和临床可解释性。
Discussion讨论
04
本研究解决了在胸部正位X光片上进行椎体压缩性骨折(VCFs)早期筛查的挑战性问题,填补了该领域研究的空白。通过模仿放射科医生对比相邻椎体进行诊断的临床实践,所提出的两阶段框架,包括精确的椎体定位和基于上下文的骨折识别,有效克服了正位片中的器官遮挡和类间相似性问题。三联体聚合模块和双重对比损失模块的设计是实现这一目标的关键。模型的Grad-CAM可视化结果不仅提供了高精度病灶定位,而且提高了模型的可解释性和临床信任度,这对于AI辅助诊断工具至关重要。尽管在处理边界模糊和皮质细微变化的轻度骨折时仍存在性能下降的局限性,但TADC-Net在多中心数据集上的优异表现以及对放射科医生诊断准确性和敏感性的显著提升,特别是对经验不足的医生,都证明了其作为辅助诊断工具的巨大潜力。未来工作可以考虑纳入配对的正侧位X光片数据,以进一步提高筛查准确性。
Conclusion结论
05
本研究旨在探索VCF在早期筛查中的潜力。通过胸部正位X光片,我们提出了一个新颖的两阶段框架,用于VCFs的准确识别。该框架解决了诊断过程中的两个基本任务:解剖定位和病理分类。在第一阶段,设计了分割框架和后处理策略来分割单个椎体,以克服胸部正位X光片中的重叠和模糊遮挡,并将整片图像转换为椎体水平的图像块。在第二阶段,我们提出了一种基于椎体水平图像块的新颖对比学习框架TADC-Net,用于VCFs的准确识别。TADC-Net由三联体聚合模块和双重对比损失模块组成,以模仿放射科医生的临床诊断过程。三联体聚合模块包含候选椎体及其相邻椎体的三联体输入以及改进的三联体注意力机制。三联体输入的聚合特征图用于最终的骨折识别。双重对比损失模块旨在提取区分性特征表示,以权衡相邻椎体与聚合特征图之间的特征图相似性,并克服类间相似性。定性和定量分析表明,临床专家指导的网络设计显著提高了其识别性能,证明了该模型在基于胸部正位X光片的VCFs早期筛查中的有效性。所提出的TADC-Net在典型分类、对比学习和VCFs分析方面均优于现有方法,并展示了最佳的聚类性能和最具可解释性的可视化效果。消融实验也说明了所提出模型各组件的有效性。
Results结果
06
所提出的TADC-Net在多中心泛化分析和实际临床应用中,在胸部正位X光片上的椎体压缩性骨折识别方面取得了最佳性能。在内部测试数据集上,TADC-Net在所有指标中均优于其他框架,mAUC、mACC、mRecall和mSpecificity分别为0.9498、0.8778、0.843和0.9125。在外部测试数据集上,该方法也展现了强大的泛化能力,mAUC、mACC、mSEN分别为0.9055、0.8374和0.8531。在临床数据集C上的验证显示,TADC-Net的mAUC、mACC、mSEN和mSPE分别为0.8946、0.8131、0.8217和0.8045,持续超越现有方法。与两名经验丰富的放射科医生(一名高级,一名初级)相比,TADC-Net在mACC和mSEN方面表现优异。当放射科医生参考TADC-Net的结果重新评估时,他们的mACC平均提高了5%,mSEN显著增加(初级医生提高9.7%,高级医生提高3.16%)。Grad-CAM可视化显示TADC-Net能够准确关注椎体上下边缘最具区分性的区域,与临床诊断一致,增强了模型的可解释性。t-SNE可视化结果显示TADC-Net的特征聚类效果最佳,具有最高的轮廓系数0.3728,表明其在区分正负样本方面具有优势。消融实验验证了所提出两阶段框架、TA模块和DCL模块的有效性,并确定了对比学习损失权重λ的最佳值为2。性别和年龄亚组分析进一步证实了TADC-Net在不同患者特征下的鲁棒性。
Figure图
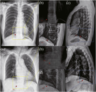
07

图1. 准确识别椎体压缩性骨折的主要挑战。图1展示了两种异常骨折(轻度/重度)病变区域及其在不同模态中相邻正常椎体的比较。(a)、(b)分别是胸部正位X光片及其放大视图;(c)、(d)分别是胸部侧位X光片及其放大视图。箭头指示T12椎体的病变区域。

图2. 所提出的TADC-Net概述。TADC-Net旨在实现VCFs的自动准确识别。该两阶段框架包含两个模块和三个组件:1)TA模块中的三联体输入和三联体注意力机制;2)用于对比学习的DCL模块。

图3. 特征提取器中提出的TA模块的流程图。TA模块中设计了相邻椎体的三联体形式作为输入;在特征提取器的每个阶段都应用了三联体注意力机制(橙色块)。三联体椎体的表示特征在特征提取器的第三阶段通过元素加法操作生成并聚合。

图4. 特征提取器中提出的三联体注意力机制的流程图。给定输入张量 F ∈ H × W × C,原始输入通过翻转到特定维度发送到并行三联体分支,得到并行三联体张量 Fhw ∈ H × W × C、Fhc ∈ H × C × W 和 Fwc ∈ W × C × H。然后,执行Z-pooling操作将C维张量降至2维,连接该维度的平均收敛特征和最大收敛特征。特征图随后被拼接并输入到核大小为3 × 3的卷积层和批量归一化层。最后,通过Sigmoid操作生成注意力分数,并通过类似排列反射回原始方向,每个TAM块的最终结果如式(2)和式(3)所示。

图5. 与其他流行框架和骨折分析方法相比,所提出的TADC-Net在所有分类指标中均实现了最鲁棒的性能。

图6. 对比方法和所提出的TADC-Net的Grad-CAM可视化。第一列和第二列显示了整体图像和椎体层面的测试样本,黄色区域表示最具区分性的区域。后面的列显示了不同方法的Grad-CAM图像。

图7. TADC-Net预测的骨折(阳性)和正常(阴性)椎体的Grad-CAM可视化,显示沿椎体终板的稳定水平注意力。

图8. 对比方法和所提出的TADC-Net的t-SNE可视化。红点代表阴性样本;蓝点代表阳性样本。
AtomGit 是由开放原子开源基金会联合 CSDN 等生态伙伴共同推出的新一代开源与人工智能协作平台。平台坚持“开放、中立、公益”的理念,把代码托管、模型共享、数据集托管、智能体开发体验和算力服务整合在一起,为开发者提供从开发、训练到部署的一站式体验。
更多推荐


所有评论(0)