医学影像AI入门日志(Day 1)|从肝脏分割到血管标注的初步实践
·
一、今日核心进展概述
今天完成了从肝脏整体分割到肝内血管标注的初步过渡,重点不再只是操作工具,而是开始理解:
- AI分割结果的误差模式
- 标注与真实解剖之间的“规则差异”
- 如何通过对照答案建立标注判断能力
整体上,从“工具使用”进入到了“标注理解”的阶段。
二、肝脏分割阶段(基础能力建立)
1. 标准流程建立
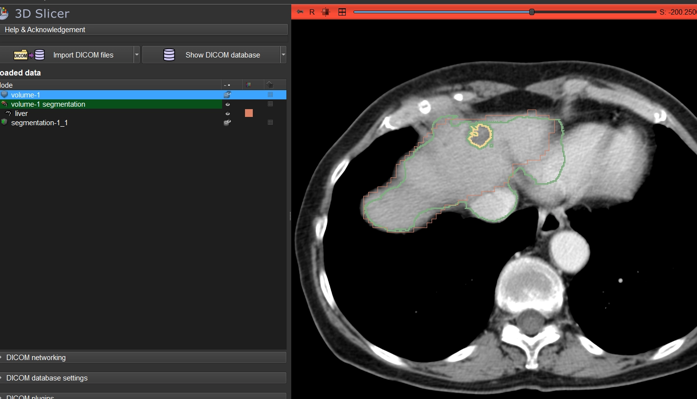
在 3D Slicer 中完成了完整流程:
- 导入CT数据 + AI分割结果(TotalSegmentator)
- 使用 Segment Editor 进行基础修正(Scissors / Paint)
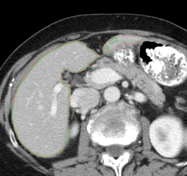
- 与官方标注进行叠加对比(颜色区分 + 透明度控制)
为什么答案直接把中间的暗沟包了
形成流程闭环:
AI结果 → 人工修正 → 对比答案 → 识别误差
2. 关键认知突破
在对比过程中,识别出AI的典型误差模式:
- 细长结构(如边缘延伸)容易漏分
- 邻近结构(如胆囊)边界处理粗糙
- 层间连续性不稳定(出现断层)
- 边界判断更偏“灰度”,而非“解剖规则”

同时理解到:
医学分割的边界并不完全依赖灰度,而是遵循“统一标注规则(outer contour)”
例如:
- 下腔静脉贴近肝脏时,答案会整体包裹
- 表面凹陷区域会被“平滑处理”
三、血管标注阶段(结构理解训练)
1. 标注目标转变
从“器官轮廓”转向:
肝动脉 / 门静脉 / 肝静脉的树状结构识别
标注重点变为:
- 连续性
- 分支完整性
- 空间走行
2. 工具链实践与优化
在多次尝试后,形成当前可用流程:
(1)Threshold(初筛)
- 用于快速提取高密度血管结构
- 优点:效率高、边界清晰
- 局限:对小血管和低对比区域不稳定
👉 当前认知修正:
Threshold 仅作为“辅助初筛工具”,不能作为最终标注依据
(2)Paint(主力工具)
- 用于补全血管分支
- 控制连续性与结构完整性
- 相比 Draw,更适合当前阶段
(3)Grow from seeds(局部辅助)
- 用于复杂区域(如血管与实质交界)
- 理解其本质是“区域生长 + 强度约束”
3. 工具问题与解决
在使用过程中解决了多个典型问题:
- Draw无法填充 → 切换为 Paint 实心模式
- Segmentation failed → 调整 Editable intensity range
- 预览卡住 → 切换工具退出状态
👉 这些问题本质是:
对 Slicer 分割逻辑(mask / intensity / segment selection)的理解不足
四、标注方法反思(非常关键)
当前策略(已修正)
从最初的:
❌ 阈值 → 修补 → 对比
调整为:
✅ 观察答案 → 关闭答案 → 独立标注 → 再对比

核心改进点
- 避免“边看答案边标”
→ 防止形成依赖 - 优先建立判断能力,而非追求精度
- 先保证结构正确,再优化边界细节
五、当前能力水平评估
已具备:
- 基础分割流程操作能力
- AI结果误差识别能力
- 基础标注工具使用能力
- 简单结构(肝脏)理解能力
仍需提升:
- 血管分支连续性判断
- 复杂边界(低对比区域)处理
- 标注一致性(风格统一)
- 操作效率
六、阶段总结
今天最大的收获不是工具,而是理解:
医学影像标注,本质是“规则驱动”,而不是“视觉判断”
以及:
AI分割不是答案,而是一个需要被理解和修正的“初稿”
七、下一步计划
- 持续练习肝脏 + 血管标注(每日1–2例)
- 专注总结“常见错误模式”
- 提升对三维结构连续性的理解
- 开始尝试小规模标准化标注输出(为作品集准备)
从“不会用工具”到“开始理解规则”,是最难的一步。
今天,算是正式迈过去了。
AtomGit 是由开放原子开源基金会联合 CSDN 等生态伙伴共同推出的新一代开源与人工智能协作平台。平台坚持“开放、中立、公益”的理念,把代码托管、模型共享、数据集托管、智能体开发体验和算力服务整合在一起,为开发者提供从开发、训练到部署的一站式体验。
更多推荐



所有评论(0)